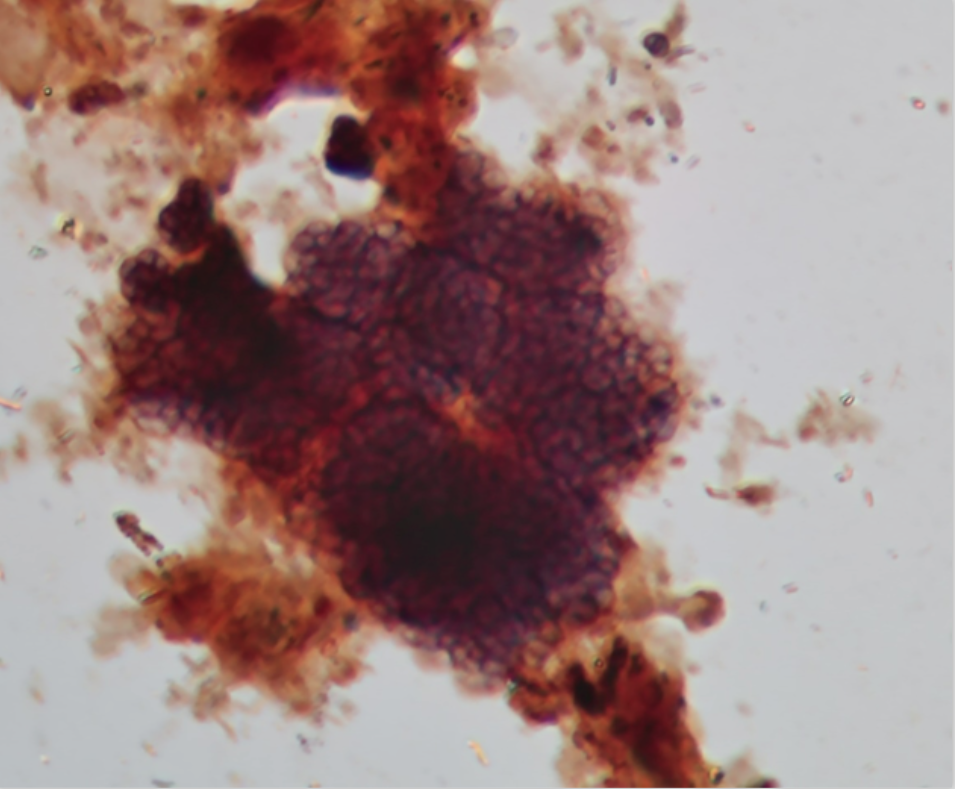
Glycogen-accumulating organisms (GAOs) are common microorganism phenotypes observed in wastewater treatment processes. Through microscopy, traditional GAO phenotypes may be viewed as “grape-like” weakly Neisser-positive conglomerates.
Historically, it has been accepted that GAOs compete with Polyphosphate Accumulating Organisms (PAOs) for substrate in enhanced biological nutrient processes by storing glycogen under anaerobic conditions. Through advances in research, we are learning that the relationships between GAOs and PAOs may be far more complex than originally thought due to extensive genetic diversity within these phenotypes as well as other factors. As an example, the genus Ca Accumulibacter (57 currently recognized species in MIDAS database) is a PAO, however it has variable GAO capabilities. In studying enhanced biological phosphorous removal systems, we have suspicion that many plants with inconsistent biological phosphorous removal performance may be related to the variable GAO/PAO nature of Ca Accumlibacter, which is a very common PAO genus (but may be finicky).
Other genera that may possess the GAO phenotype include Ca Competibacter (111 recognized species), Ca Contendobacter (14 species), Defluviicoccus (54 species, including filaments possessing Nostocoida limicola morphology), Micropruina (9 species, also this genus is a candidate for Actinomycetes-Mycolata filamentous morphology and tetrad phenotype capability), and Propionivibrio (49 species). All of these genera are members of the Proteobacteria phylum with the exception of Micropruina, which is classifeid within the Actinobacteriota phylum.
Interestingly, there are circumstances in which excess carbon in anoxic zones may potentially encourage GAO growth with stable populations of both GAOs and PAOs present simultaneously in processes with successful enhanced biological phosphorous removal. While factors such as type of substrate, temperature and sludge age all likely come into play, from an operational standpoint, controlling the oxidation-reduction potential (ORP) or redox values in the selector zones as best as possible is typically the most practical operational control strategy.
In addition to overloaded selectors, based on personal experience, we have seen GAOs outcompete PAOs also at higher ORP values in selectors (lower carbon availability). In practice it appears that most plants with successful enhanced biological phosphorous removal have a relative sweet spot for selector value ORP, and these values may range fairly significantly depending upon a multitude of factors. For example, I have seen successful biological phosphorus removal with selectors at -250 mV ORP while others may need to be less than -350 mV for success.
This link as well as the MiDAS field guide database are referenced heavily in this article. It is recommended to read the science direct link as this is a recent study that sheds light on new findings of GAOs versus PAOs. The objectives of this article is to share that what we are learning about GAOs is a work in progress, that there is high genetic diversity within the GAO phenotype, and that successful enhanced biological phosphorous removal may exist in both systems that are low and high in GAO populations.
About the author: Ryan Hennessy is the principal scientist at Ryan Hennessy Wastewater Microbiology. He was trained and mentored by Dr. Michael Richard for over 10 years in wastewater microbiology, and serves as a microbiology services consultant. Hennessy is a licensed wastewater treatment and municipal waterworks operator in the state of Wisconsin and fills in as needed for operations at several facilities. He can be reached at ryan@rhwastewatermicrobiology.com.















